Envío gratuito en pedidos de 90€+ 653 45 65 26
Uncategorised
0
Revisiones pediatricas
0

Las revisiones pediátricas representan los exámenes médicos periódicos conducidos por pediatras con el objetivo de asegurar la salud y el desarrollo adecuado ...

0
Escáner Intraoral 3D
0

¿Qué es un escáner intraoral 3D? El escáner dental es un sistema digital no invasivo donde introducimos los datos del paciente y la precisión protésica para ...

0
Quiste de Baker infectado, diagnosticado en el servicio de urgencias con POCUS
0

Resumen - Quiste de Baker El quiste de Baker es una acumulación cerrada de líquido que se forma en la parte posterior de la rodilla. Por lo general, aparece ...

0
Consejos para tratar la gripe
0

El invierno y especialmente los principios de enero, representan la época de la epidemia de gripe. ¿Pero cómo podemos, desde los primeros síntomas, ...

0
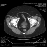
Desafío diagnóstico en urgencias: dolor abdominal ¿quirúrgico?
0

Introduccion El dolor abdominal agudo es uno de los cuadros urgentes de mayor desafío diagnóstico. La anamnesis, la exploración física minuciosa y las pruebas ...

0
¿Qué sabes de la Gripe?
0

La gripe es una enfermedad infecciosa aguda de las vías respiratorias causada por un virus. Entre sus características más importantes está su elevada capacidad ...

Mostrar siguiente
Parafarmacia Online
Logo
Shopping cart