
Innledning
Akutte magesmerter er en av de mest presserende boksene diagnostisk utfordring. Anamnese, grundig fysisk undersøkelse og grunnleggende laboratorieforsøk hjelpe i diagnostisk og terapeutisk orientering av de fleste prosesser. Den økte bruken av mage computertomografi (CT) i denne sammenhengen har tillatt enheter å gjenkjenne sjeldne utseende og konservativ ledelse som oment appendagitis (AE).
Primær omental appendagitis eller akutt blindtarmbetennelse omental er en godartet inflammatorisk enhet karakterisert ved nærvær av høye torsjon eller trombose i den venøse drenering av omentfaktorene vedheng betennelse, er slike strukturer ocalizarse mer vanligvis i områder som grenser til colon sigmoideum.
AE er en sjelden årsak til akutte magesmerter og dens utbredelse er ukjent. Det forekommer som regel mellom fjerde og femte tiår av livet (70-85%), som viser et tilsvarende frekvens mellom sexos2. Det er mellom 2-8% av pasienter diagnostisert med akutt divertikulitt og 1% av pasienter med mistanke om akutt blindtarmbetennelse.
Klinisk historie
En 66-årig kvinne med en historie med hypertensjon, type 2 diabetes mellitus, hyperurikemi, migrene hodepine, cholecystektomi, ble studert for to år siden i kirurgisk kirurgi for gjentatte magesmerter i venstre iliac fossa med et ugjennomsiktig enema resultat innen normalt .
Han dro til beredskapsavdelingen fordi han hadde hatt magesmerter plassert i venstre iliac fossa i 20 timer med bestråling til epigastrium ledsaget av abdominal distensjon, plutselig utbrudd, kontinuerlig, uavhengig av inntak eller postural endringer og uten tilhørende tarmvanerendringer (referer til vanlig forstoppelse med sporadisk rektal blødning i liten mengde). Det var ingen feber, kvalme, oppkast eller konstitusjonell syndrom. Ingen mikturssyndrom.
Fysisk utforskning
Pasienten kommer inn går til spørringen, vitale tegn i søket triage TA oppdaget 122/78, puls 92 bpm, temperatur 37.1ºC, har god allmenntilstand, bevisst, orientert, samarbeidende, god farge mucocutaneous med god hydrering . Eupneic. Kardiorespiratorisk auskultasjon ingen bevis patologiske funn. Buken er mykt, presses ned, smertefull epigastrisk-ramme venstre kolikk være de mest smertefulle palpasjon på den venstre fossa iliaca, ingen abdominal forsvar, selv om det var ingen tegn til positiv oppsving i smertefulle punkt, er magen noe oppblåst beholder lyder er redusert. Femoral pulser er til stede og symmetriske.
Komplementære tester
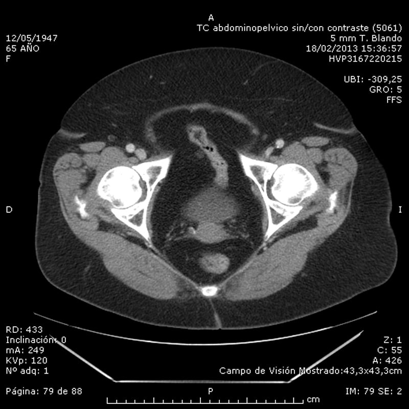
Analytisk sett forblir blodtellingen (leukocyttall og formel) og biokjemi (inkludert bilirubinemi og amylasemi) normalt. En evaluering er forespurt for kirurgi som ber om en beregnet tomografi av magen som viser vridningen av et lite epiploisk vedlegg ved siden av sigmoid-kolon. (Figur 1).
Differensiell diagnose
Akutt epiploisk appendagitt, akutt omentalt infarkt, inflammatoriske prosesser (divertikulitt, appendisitt), skleroserende mesenteritt, primære eller metastaserende tumorer som involverer mesocolon.
Behandling og evolusjon
Beregnet tomografi abdominopelvic Poliklinisk behandling med flytende diett, amoksicillin-klavulansyre 500 mg hver 8. time muntlig i 8 dager og gjennomgang i ambulant kirurgi innen 15 dager er indikert.
Pasienten går for asymptomatisk revisjon. Den radiologiske kontrollen som ble utført (abdominal CT med kontrast) var normalt (figur 2).
Diskusjon
Epiploisk appendagitt (AE) er en godartet enhet som debuterer med en svært variabel, ikke-spesifikk klinisk manifestasjon. Den smertestillende behandlingen er vanligvis av valg, og er eksepsjonell nødvendigheten av kirurgisk behandling i disse tilfellene. Begrepet omental blindtarm ble introdusert i 1956 av Lynn et al, og som kjennetegner denne fremgangsmåten i TAC ble først beskrevet i 1986 av Danielson et al. Inntil da var diagnosen kirurgisk1.
Den hyppigste plasseringen er i sigma og synkende tykktarm etterfulgt av stigende og tverrgående tykktarm. Muligheten for å oppdage det langs hele tykktarmen er ikke sjeldent, tvinger en differensialdiagnose med flere patologier.
Smerter i nedre venstre del av magen plutselig og intens karakter området er vanligvis den mest vanlige kliniske manifestasjon, kan etterligne divertikulitt eller blindtarmbetennelse i tilfelle av høyre side er eksepsjonell tilstedeværelsen av feber, náuseasvómitos eller endringer intestinal vane. Diagnosen er etablert med anamnese, fysisk undersøkelse, analytiske tester og grunnleggende radiologi, kaste bort andre årsaker til akutt underliv. Fører til å utgjøre en bred differensialdiagnose etter dem som omental infarkt, mesenterisk pannikulitt, mesenteritis skleroserende primære eller metastatiske tumorer mesocolon.
Den diagnostiske teknikk er abdominal CT utbredt og som et verktøy for diagnose av akutt magesmerter nødstilfelle er den mest følsomme og spesifikke testen gir patognomonisk funn som i vårt tilfelle, TC bemerket omental tillegget som en avrundet bildeintensitet avhengig colonic serosa med rundtgående fremspring av denne, og ledsages av en fortykning av parietal peritoneum og / eller fett tykktarm vegg. Behandlingen bør være konservativ gjennom analgetika, orale antiinflammatoriske stoffer og hvile, med en tendens til å løse symptomene uten å kreve kirurgisk behandling eller antibiotika. Prognosen for denne enheten er utmerket, det kliniske bildet varer vanligvis ikke mer enn to uker, selv om de radiologiske funnene kan vare fra uker til flere måneder. Bør ta hensyn til mulige komplikasjoner som appendicular torsjon adhesjon til nabo innvollene kan forårsake abscesser eller intestinal obstruksjon, og i dette tilfelle bør kirurgisk behandling.
konklusjon
Vi må tenke på denne sjeldne enhet før et bilde av magesmerter lokalisert primært på flankene eller fossa iliaca. Omental appendagitis har sonografiske og karakteristiske CT-funn som bidrar til rask diagnose og således hjelpe til med behandlingen av pasienten, som i henhold til resultatene kan ta en konservativ tilnærming i pasienter med lokalisert smerte i en av flankene uten systemiske symptomer eller unormal forhøyning av hvitcelletallet.
Forfatter: Joaquín Valle, doktor
Referanser
- AK Singh, Gervais DA, Hahn PF, PP Sagar, Mueller PR, Novelline RA. Akutt epiploisk apendagitt og dens etterligninger. RadioGraphics 2005; 25: 1521-34.
- Legome EL, Belton AL, RE Murray, Rao PM, Novelline RA. Epiploisk appendagitt: Beredskapsdepartementet. J Emerg Med 2002; 22: 9.
- Sandrasegaran K, Maglinte DD, Rajesh A, Akisik FM. Primær epiploisk appendagitt: CT diagnose. Emerg Radiol 2004; 11: 9-14.
- González A. Vega, I. Garcia Perez, D. Alvarez Alvarez, A. Rizzo Ramos, J. L. García Muñiz, P. Pérez Ricarte. Epiploisk appendagitt som en etiologi av akutt magesmerter. Rev Esp Enferm Dig 2008; 100: 800-801.
- AK Singh, Gervais DA, Hahn PF, Sagar P, Mueller PR, Novelline RA. Akutt epiploisk appendagitt og dens etterligninger. Radiografi 2005; 25: 1521-34.
- Horvath E, Majlis S, Sequel S, et al. Primær epiploisk blindtarmbetennelse: klinisk og radiologisk diagnose. Rev Med Chil 2000; 128: 601-7.
